マウスピース型矯正装置(インビザライン)で前歯のすきっ歯を含めた全体を矯正歯科治療した症例
Case
マウスピース型矯正装置(インビザライン)で前歯のすきっ歯を含めた全体を矯正歯科治療した症例
Case
| 年齢と性別 | 20代女性 |
|---|---|
| ご相談内容 | 「前歯をはじめとする全体的なすきっ歯を矯正したい」「ワイヤー矯正ではなく、マウスピース型矯正装置(インビザライン)で治したい」とご相談いただきました。 |
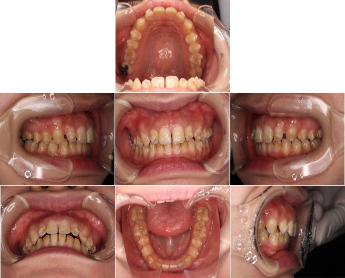
| カウンセリング・診断結果 | 口腔内を診察したところ、一番気になっている前歯のすきっ歯以外にも全体的に隙間があいていて、典型的な「スペースドアーチ(空隙歯列弓)」の状態でした。 左右の奥歯の前後関係は正常でしたので、奥歯の位置は変えずにスペースを閉じるようにしました。 |
| 行ったご提案・治療内容 | 前歯部だけではなく全体矯正が必要であり、目立ちにくい矯正装置を患者様がご希望でしたので、マウスピース型矯正装置(インビザライン)のコンプリヘンシブパッケージにて治療を行いました。 |
| 治療期間 |
|
| おおよその費用 | 約 ¥880,000(調整料は別途¥5,500/回) |
| 術後の経過・現在の様子 | 全体的な隙間の量が多いため、前歯の倒れこみに注意してマウスピース型矯正装置(インビザライン)の治療計画を立て、矯正治療を行いました。マウスピース使用の協力性も非常に良く、追加アライナーの作製は1回のみで治療が完了しました。 また、目立たない器具で他の人にほぼ知られずに矯正治療を終了できたことに、患者様もとても満足されていました。 |
| 治療のリスクについて |
|



上下歯列全体にスペースがありましたが、舌癖(舌の癖)はありませんでした。また、上下の歯列に垂直的や前後的なズレもなく、マウスピース型矯正装置(インビザライン)のコンプリヘンシブパッケージにて治療を開始しました。

患者様はコーヒーを飲まれることが多く、アタッチメント周囲が着色しやすい状況でした。
マウスピース装着時に着色は目立ちませんでしたが、治療終了時にエアーフローにて着色を落としました。

スペースもなくなり、緊密な咬み合わせを作ることができました。アタッチメント除去後に、エアーフローでしっかりと着色を飛ばし、最後にリナメルで磨きました。
患者様のご希望で今後はホワイトニングも予定しています。

最初の治療計画画像です。ほぼシュミレーション通りに治療を終えることができました。無理な動きも加えていないので、歯肉退縮や歯根吸収も起きませんでした。
前歯の隙間も奥歯の隙間もしっかり埋まり、奥歯の咬み合わせも緊密にすることができました。
また、目立たない器具で他の人にほぼ知られずに矯正治療を終了できたことに、患者様もとても満足されていました。