①『町田駅前矯正歯科』のインスタグラムをフォローして頂きます。

まずは『フォロー』をお願いいたします。
インスタ矯正相談
Medical


インスタグラム上でご自身のお口とお口元のお写真を送っていただき、それをもとに医院長が簡易的な診断、治療方針、治療期間、費用、注意事項などをインスタ上のメールでお知らせするサービスになります。

②ご自身の歯並びとお口元の撮影を行います。
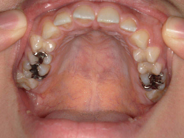
以下8パターンのお口のお写真をお願いしております。
正面のお写真
まずは、正面のお口のお写真です!両手で引っ張り、お友達やご家族の方にスマホでお写真を撮っていただきます。

右側の歯のお写真
今度は、ご自身で指で引っ張りながら、右側の歯をスマホで撮影していきます。
ポイント:一番奥の7番目の歯まで撮影されていると診断がつけやすいです。

左側の歯のお写真
今度は左側を撮影しましょう。

上顎の歯のお写真
今度は、またお友達やご家族にお手伝いいただき、上顎を下から撮影していきます。
ポイント:一番奥の歯までしっかり撮れていますと、診断の方がやりやすいです!

下顎の歯のお写真
同じく下も撮影します。

真横からのお写真
今度もお手伝いをお願いしましょう。真横からお鼻と顎の先がしっかり写るように撮影しましょう!
ポイント:お口元は自然なリラックスした状態で撮影しましょう。

笑顔のお写真
今度はスマイルです。いつもの笑顔で撮影してもらいましょう。撮影する側のテクニックも必要ですね!

自然なお写真
最後は、自然な状態での真正面のお写真も撮ってもらいましょう。
これで終了です! お疲れ様です!

③インスタグラムのダイレクトメールでお写真をお送りください。
送る際に必ず以下の情報をご一緒にお送りください。
④3営業日後にインスタグラム上のダイレクトメールで簡易診断の結果をご返信させていただきます。

⑤その後さらに詳しい治療をお知りになりたい患者様は、初診カウンセリング(無料)または精密検査(精密検査費用がかかります)のご予約をWeb予約またはお電話にてお取りください。
